当前位置:晚报电子版
站内搜索:
3 上一篇 放大 缩小 默认
3龄童肚里扎进两根缝衣针
1个月后肚子痛就医时才发现
  • 2011年03月28日 作者:
  • 【PDF版】

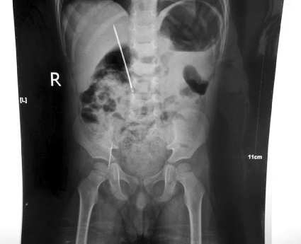
    ▲X线片显示小威右下腹腔内有两枚缝衣针。

    已取出的两枚缝衣针。

    本报3月27日热线消息 (记者 张建峰 通讯员 邱原)平邑县平邑镇一名3岁男孩小威,因肚子痛到医院检查,在做B超时发现腹腔内有两枚缝衣针,其中,一枚长约3cm,另一枚长约7cm,经临沂市人民医院专家的救治,插进小威体内达1个月之久的两根缝衣针,被医生从孩子肚子里全部取出。

    平邑县平邑镇3岁男童小威,父亲一年前因车祸去世,母亲为精神病患者,从小由70多岁的奶奶抚养。前不久,小威因为腹部不适、阵发性腹痛到医院就诊,在当地医院做B超检查时,医生发现他腹腔内有两枚缝衣针。3月20日,小威由其姑姑和大伯领着,急转到临沂市人民医院救治。

    小威的姑姑告诉医生,小威平时都是由年迈的奶奶照顾,可能是他拿着奶奶的两根缝衣针玩耍时,不小心摔倒了,缝衣针刺进了肚子,小孩不说大人也不知道。后来孩子常说肚子痛,才到县里的医院看病,医院给做B超检查时发现孩子肚子里有两根缝衣针,县医院的专家让赶快转到市医院治疗。

    为确定针的具体位置,保证缝衣针在孩子体内不游动,临沂市人民医院儿外一科专家急诊复查B超,B超显示孩子肝内有异物存在,X线片显示其右下腹腔内有两根缝衣针。因缝衣针在腹腔内存留时间太长,且已造成肠穿孔,肠蠕动恢复极慢。临沂市人民医院儿外一科医护人员考虑到如果不能保证手术将针全部取出,万一针刺入动脉,有可能造成大出血,所以手术前在患儿的手术方案上,除了技术方面的精心安排外,还千方百计地想着为其节省费用。

    3月20日晚上8点,医院专家在全麻下为小威做了缝衣针取出手术,术中见右下腹回盲部有一长约3cm的钢针刺入后腹壁,右上腹见一长约7cm钢针经十二指肠向外上方刺入,两枚钢针已生锈,均被完整取出,同进时行十二指肠修补术。经过不间断的积极救治,小威终于转危为安。3月27日,小威康复出院。

3 上一篇 放大 缩小 默认
小王钰今日进行白内障手术
百十米路程用了38分钟
3龄童肚里扎进两根缝衣针
通信地址:中国 山东省 济南市泺源大街6号F15   邮编:250014   E-mail:wl@qlwb.com.cn
电话 新闻热线:96706   报刊发行:0531-85196329 85196361   报纸广告:0531-82963166 82963188 82963199
副刊青未了:0531-85193561   网站:0531-85193131   传真:0531-86993336 86991208
齐鲁晚报 版权所有(C)   鲁ICP备05004346号