潜心施展内窥无创
市北区人民医院推出螺旋CT仿真内窥镜检查项目
2020年10月30日  来源:齐鲁晚报
【PDF版】
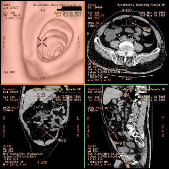
     市北区人民医院放射科潜心施展螺旋CT检查功能,于年内推出仿真内窥镜检查项目。螺旋CT仿真内窥镜,是充分利用三维后处理技术。肺部疾病患者,仅需配合几秒钟屏气CT扫描;肠道疾病患者,提前做好肠道清洁准备,检查时经肛门注入空气对比,仅需几秒钟CT扫描即可。经过计算机三维重建处理,不用侵入体内就能十分清晰地观察气管、结肠等空腔器官的内表面,准确发现肺癌、结肠癌肿块及息肉等病变,基本无创伤和无副作用,是十分安全有效的检查手段。为基础疾病多的老年患者,存在各种风险不能做结肠镜检查的患者,以及对内窥镜创伤性检查望而却步的患者,提供了新的临床检查选择。目前,该院已为诸多不明原因肠梗阻、结肠息肉、结肠肿瘤性疾病、肺不张及肺癌等患者,进行了效果显著的检查及诊断。(贝仁奕)

本稿件所含文字、图片和音视频资料,版权均属齐鲁晚报所有,任何媒体、网站或个人未经授权不得转载,违者将依法追究责任。
网友为此稿件打分的平均分是:
齐鲁晚报多媒体数字版
按日期查阅
© 版权所有 齐鲁晚报
华光照排公司 提供技术服务