威海市立医院
完成烟威地区首例高难脊髓髓周瘘手术
2022年09月02日  来源:齐鲁晚报
【PDF版】
     记者 连宁燕
  
  脊髓血管病变的诊治一直是神经外科的“禁区”之一,其原因是由于该领域的疾病在诊断方面容易误诊,在治疗方面容易出现严重的并发症。
  8月4日,威海市立医院又迎来新的“里程碑”时刻。这一天,神经外二科主任王亮带领团队在无影灯下鏖战,成功完成了一例外院转入脊髓髓周瘘手术,实现了此类手术在烟威地区零的突破,标志着威海市立医院神经外科手术水平再上新台阶。

  毫无征兆发病
仅一个小时便无法行走

  日前,31岁的邹女士正跟平日无异,正站的好好的突然感到一阵腰疼,随即连带着整条右腿开始疼,每次阵痛大约十分钟,不到一个小时后右腿便完全不能动了,落脚软绵绵的就像踩到棉花般一下子跪倒在地上,无法行走。
  右下肢无力伴双下肢麻木,胸椎MR检查显示胸11椎管平面髓内占位。由于当时很难确定病变的性质,面对诊断的不确定性,在文登整骨医院住院五天后,7月28日,邹女士由文登整骨医院转入威海市立医院神经外科。
  神经外二科王亮主任立即带领团队对病情展开讨论,决定对患者行胸腰椎CTA检查以排除脊髓血管病变。据了解,CTA检查是指血管在CT设备中成像,可以帮助医生及时了解患者检查部位的血管是否存在发育畸形、管腔狭窄或扩张、动脉瘤等病变,为诊断以及后续的治疗提供依据。
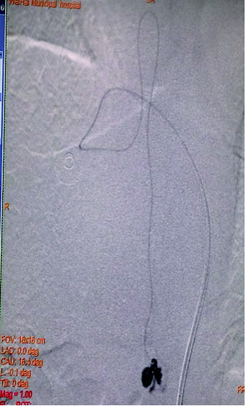
  CTA结果很快出来,考虑为胸髓血管病变,动静脉畸形的可能性大,于是,王亮再次对患者行全脊髓造影,明确病变的性质。最终,造影显示病人病变为胸11的脊髓髓周瘘,由第9肋间动脉的脊髓前支供血,回流静脉明显增粗并形成一个大的“静脉球”,病例得到确诊。
手术难度攀新高
年轻患者面临截瘫风险

  脊髓髓周瘘是脊髓动静脉畸形的一种特殊的病变,其破裂的风险大,容易对病人的运动感觉系统及排便系统造成很大的影响,邹女士的症状就是静脉球的破裂出血引发。
  由于此类疾病血供复杂,操作困难,治疗在国内基本集中于几个国家级脑血管病中心。王亮考虑到病人转运的过程中再次破裂的风险较大,向病人家属交代手术的必要性和风险后,家属表示愿意在市立医院行手术治疗。
  面对这样一个棘手的难题,为确保手术顺利进行。王亮主任团队在全面评估患者全身情况后,立即组织全科医生进行手术讨论,并将手术可能出现的相关情况进行预案分析。手术的方式有两种:一种为打开椎管电凝瘘口,第二种为介入栓塞瘘口。由于病人的病变位于脊髓的前索,第一种方法将导致更大的创伤,甚至造成病人术后截瘫,再三斟酌后选择第二种方案,为患者实施介入栓塞术。
  充分做好术前准备,术中微导管置入供血动脉,给予超选造影发现,瘘口距离下方的脊髓前动脉很近,只有2-3mm的距离,术中必须保护好脊髓前动脉,脊髓前动脉如果发生闭塞就有发生截瘫的危险。
  面对如此高难有风险的手术,王亮认为,除具有精准、专业的技术外,还需要有丰富的手术经验和强大的心理承受能力,能够应对术中各种突发情况。
有条不紊成功手术
患者电话再三致谢

  8月4日,在争分夺秒的手术过程中,“要让她站起来,要让她正常走路”成为支撑王亮和团队的每一个人绷紧神经、全力以赴完成好各项工作的首要动力,他们拼尽全力想给年仅31岁的邹女士送去改善生命质量的希望。
  凭借精湛的技术,术中微导管精准地越过脊髓前动脉,为了保证手术的安全性,填入1×2、1×1、和1×1三个超软弹簧圈,造影显示瘘口闭塞,脊髓前动脉能清晰地显影,病变得到治愈。
  严于术前、精于术中、勤于术后。在王亮主任的密切观察中,邹女士术后很快苏醒。手术后第2天右下肢就能抬离床面,并且双下肢麻木症状明显好转。第4天病人可站立,一周后可行走,双下肢的感觉完全恢复,生活质量得到质的改善。8月11日,邹女士顺利出院。
  8月23日,邹女士拨打威海市行风热线和12345政务服务热线,向王亮主任表示感谢。邹女士有一个可爱的宝宝,平常主要是她陪伴照料宝宝,邹女士说:“当时我家人已经开始了解电动轮椅了,做好了最坏的准备。如果没有王亮主任的救治,我的生活可能将变成另一个样子。”
  此例手术成为烟威地区第一台高难脊髓髓周瘘手术,填补了该地区的空白。此次手术的开展展现了威海市立医院神经外科勇攀高峰的精神,体现了“疾病送来医院 健康带回家中”的宗旨。下一步,威海市立医院神经外科将致力向医学更高的领域蓬勃发展,开展更多“以往不敢想象”的新技术新项目,为患者谋求更优质、更便捷、更安全的精致医疗服务。
  图A为术前造影的正位图像,主供血为脊髓前动脉,引流静脉的起始部形成一个静脉球,远端呈迂曲状;图B为微导管到位后的超选造影,脊髓前动脉不显影(已越过);图C为栓塞结束后的造影,主供血的血流明显瘀滞,瘘口闭塞,下方的脊髓前动脉仍显影。
  王亮,中共党员,威海市立医院神经外科主任,山东省老年医学学会第二届神经外科专业委员会副主任委员,山东省疼痛医学会第一届神经介入专业委员会常务委员,山东省卒中学会脑血管介入与手术治疗分会常务委员,山东省疼痛医学会第一届放射神经外科专业委员会常务委员,山东省疼痛医学会第一届小儿神经外科专业委员会常务委员,山东省老年医学研究会第一届神经外科专业委员会常务委员,山东省医师协会神经脊柱脊髓外科医师分会及第四届神经外科专业委员会委员,山东省医师协会神经外科医师分会委员,发表省级以上杂志论文20余篇,共获得国家专利6项,参编著作5部。其中《高压氧对高血压脑出血血浆凝血酶水平的影响》,获得威海市科技进步三等奖。
  积极开展神经外科的各项工作,在颅脑肿瘤方面进行了岩斜区脑膜瘤、颅咽管瘤、脑干后方四脑室大型室管膜瘤切除、与脑干粘连的大型神经鞘瘤的切除及桥小脑角区神经鞘瘤及脑膜瘤的切除。在脑血管病方面,分别在威海市立医院实行了左额叶功能区大型AVM的手术切除及小脑AVM的切除,手术效果良好。在颅内动脉瘤方面,能够完成各种前后循环动脉瘤的手术夹闭,独立完成各种动脉瘤的介入栓塞,目前每年独立开展颅内动脉瘤介入栓塞数百例。且在威海地区率先完成颈动脉内膜剥脱术,现已独立完成数十例,填补威海市在这方面的空白,达到省级医院先进水平。在脑出血方面,能够采用小骨窗开颅及微创手术灵活地治疗各种脑出血性疾病,手术效果好。近年逐步开展了椎管内肿瘤、三叉神经痛、癫痫DBS手术治疗,取得了良好的手术效果。

本稿件所含文字、图片和音视频资料,版权均属齐鲁晚报所有,任何媒体、网站或个人未经授权不得转载,违者将依法追究责任。
网友为此稿件打分的平均分是:
齐鲁晚报多媒体数字版
按日期查阅
© 版权所有 齐鲁晚报
华光照排公司 提供技术服务