
术前影像

术后影像
外翻,是一种常见的足部畸形,有先天和后天之分。它不仅影响足部美观,还可致关节肿痛、活动僵硬,影响行走与生活。为了让更多足踝疾病患者享受到更优质、更舒适的诊疗服务,济阳区人民医院四肢显微外科引进微创 外翻动力系统,全面投入临床应用,效果显著。标志着医院足踝外科在微创诊疗领域迈入了专业化、精细化微创诊疗新阶段。
通讯员 朱宝慧
精准矫形
让你夏天“足”够美丽
夏天本是裙摆飘飘、凉鞋轻响的季节,但不少年轻女性却因 外翻而烦恼。大 趾逐渐向外歪斜,脚骨内侧凸起一个包,不仅影响外观,穿鞋稍紧就会磨得红肿疼痛。许多人只好将心爱的凉鞋收进柜中,生怕露出变形的双脚。当美丽被双足所困,是继续忍耐,还是勇敢改变?
在济阳区人民医院四肢显微外科,就接诊了被同样问题困扰的年轻女性。有的因长期穿高跟鞋、尖头鞋所致,有的则是先天遗传。不少人尝试过按摩、矫正器、药膏等方法,效果均不理想。足部畸形不仅限制了穿衣打扮的自由,更悄然影响着日常行走和运动。逛街、出游时间稍久便脚痛,心情大打折扣。
如今,随着微创 外翻矫形技术的日益成熟,越来越多的年轻女性选择通过手术彻底解决这一烦恼。术后愈合的疤痕微小隐蔽,双足重获美丽与健康,可以不再躲闪他人的目光。更重要的是,行走不再疼痛,出游或运动不再成为负担,“足”够自信地走过每一个夏天。
脚趾畸形疼痛
严重影响老人生活
77岁的张女士两年前无明显诱因出现左足 趾疼痛,行走后疼痛加重。经对症药物治疗后,症状一度减轻,但未能根治。今年3月,她的左 趾疼痛再度加重,严重影响日常生活,且左足 趾外侧长出“鸡眼”,遂来济阳区人民医院就诊。门诊经检查诊断为“左足 外翻”,收治入四肢显微外科(骨外三科)进一步治疗。入院后,定于次日为张女士实施 外翻矫形术。
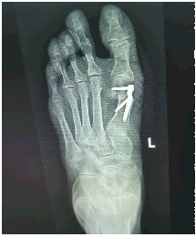
术中,于硬膜外麻醉下手术医生依托精密动力系统,分别在其左足第1跖趾关节外侧、第1跖骨远端内侧做长约0.5厘米和2.5厘米的纵行切口,沿第1跖骨颈截骨,于近端髓腔置入一枚 外翻远端板予以固定。手术过程顺利,患者术后第2天即可下地行走。
微创 外翻矫形术不仅成功矫正了困扰张女士多年的畸形 趾,也彻底解除了伴随多年的疼痛,一家人终于舒展了眉头。术后一周内,张女士康复出院,激动地连连道谢。对于老年患者而言, 外翻常被误认为是“年纪大了都会这样”而不予重视。实际上,长期足趾畸形会导致足底压力分布异常,继而出现足底疼痛、胼胝(老茧)、鸡眼,甚至影响膝关节和髋关节,造成代偿性劳损。济阳区人民医院四肢显微外科开展的微创矫形术,具有切口小、固定牢、下床早、活动早等优势,尤其适合高龄患者,能够帮助他们重新实现无痛行走。
别忽视 外翻
青年或痛失入伍资格
每年征兵季,各地有志适龄青年以青春热血赴家国之约。然而,征兵体检中,查体医生发现不少孩子因重度 外翻或伴有明显疼痛、功能障碍而不合格。许多青年平时虽无明显疼痛,但足部已明显变形,无法完成基础训练。
四肢显微外科专家强调:“很多家长和孩子存在认识误区,以为不疼就没事。事实上,一旦 外翻角度超过25度、跖间角超过10度,或者出现锤状趾、痛性老茧,即便当下没有明显疼痛,也已达到手术指征。因为这些结构性改变是不可逆的,随着训练强度增加,必然出现症状,进而影响服役。”专家建议,有志青年应提前进行足踝专科检查,若确诊为中重度 外翻,可尽早接受微创矫形手术。术后2至3个月康复,不影响应征入伍。
济阳区人民医院四肢显微外科微创 外翻动力系统的应用,实现了从“开放大切口的经验手术”到“精准微创手术”的跨越。科室秉持“精准、微创、快速康复”的理念,为每位患者量身定制个体化治疗方案,让更多人迈开健康步伐,走出精彩人生。
本稿件所含文字、图片和音视频资料,版权均属
齐鲁晚报所有,任何媒体、网站或个人未经授权不得转载,违者将依法追究责任。